У Києві лікарі провели унікальну операцію з видалення металевого уламка із серця 46-річного воїна. Зробили вони це за допомогою магніту.
Про це повідомляє РБК-Україна (проект Styler) з посиланням на Facebook-сторінку Національного наукового центру хірургії та трансплантології імені О.О.Шалімова
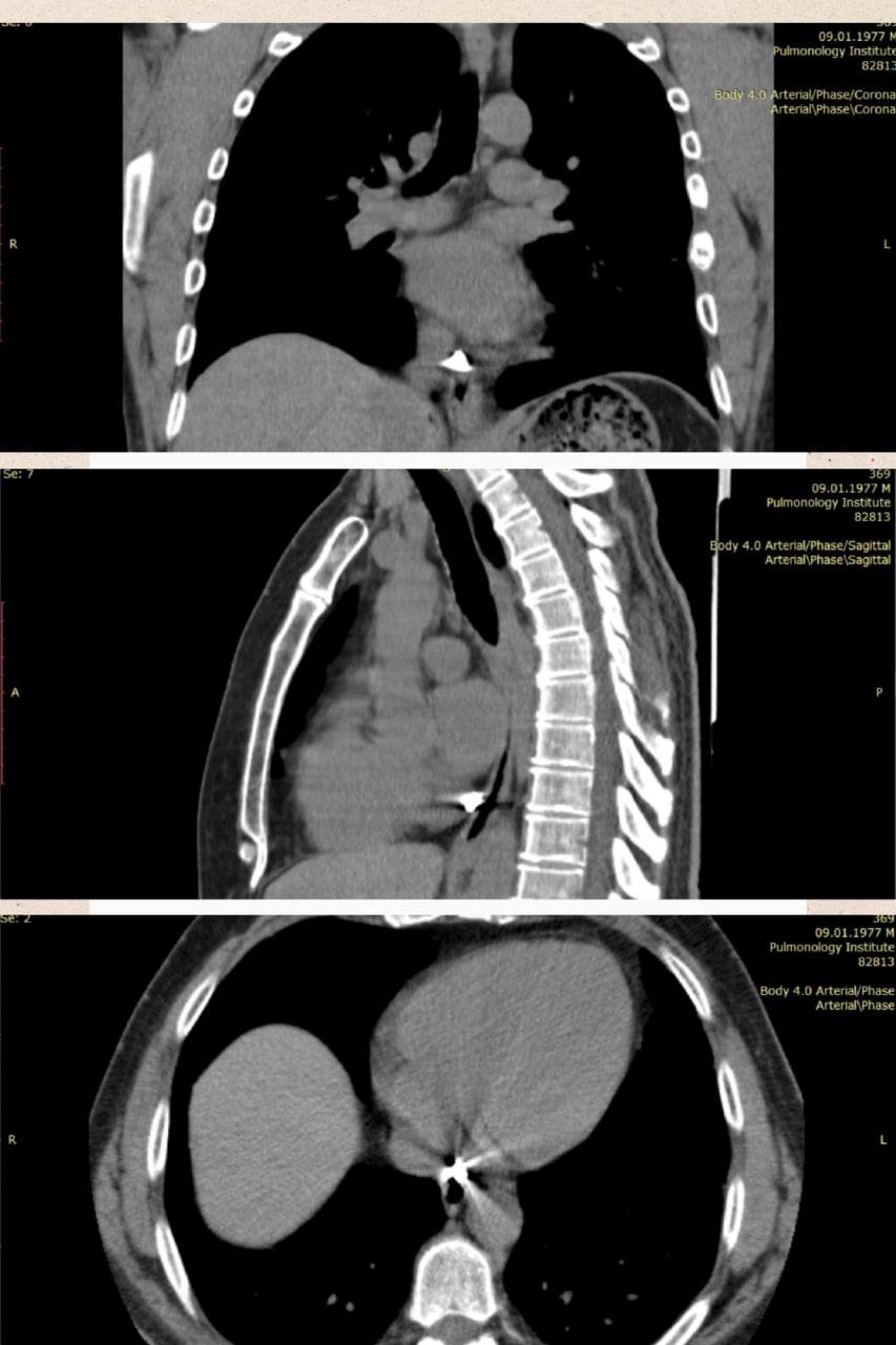
Як виявили уламок
46-річний чоловік звернувся до лікарів зі скаргами на значну задишку та болі в грудній клітці, особливо в ділянці серця.
Пацієнт вказував на неможливість повноцінного вдиху, до того ж біль ставав усе сильнішим, з'явилась задуха. Нещодавно, перебуваючи в зоні бойових дій, чоловік отримав важке осколкове поранення грудної клітки.
На КТ дослідженні фахівці побачили уламок значних розмірів – 8×9 мм, який застряг в перикарді (зовнішня сполучнотканинна оболонка серця – тонкий, але щільний мішок, в якому розташоване серце).
Лікарі зазначили, що дане специфічне розташування суттєво ускладнювало оперативне втручання.
Що застосували під час операції
Хірурги вирішили провести мініінвазивне торакоскопічне видалення металевого уламка, із застосуванням магнітного інструментарію для евакуації його з товщі тканини.
Втручання відбулось через невеликий надріз в грудній стінці.
На щастя, операція та післяопераційний період пройшли без ускладнень. Пацієнта виписано на амбулаторне лікування, де він готується до другого, реконструктивного втручання.
"Даний клінічний випадок демонструє переваги поєднання високотехнологічних хірургічних методик та професіоналізму медичного персоналу", – йдеться у повідомленні.



У Киві врятували воїна за допомогою магніту (фото: facebook.com/surgery.org.ua)
Раніше ми повідомляли, що в Україні вперше провели унікальну операцію на грудній клітині.
Також лікарі розповідали про поширений стан у жінок.

